Australian National Centre For Keyhole Implant Dentistry © Copyright. All Rights Reserved.
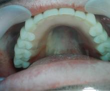
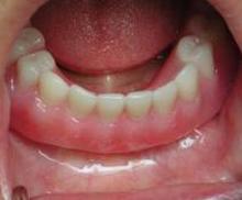
If you have missing teeth and would love to have a non-removable alternative to dentures, here are some actual clinical treatments performed by Dr. Joseph Shohmelian which can give you an idea of what you can expect within just a few short weeks when you decide to proceed with treatments.
But Firstly, Let's Take A Quick Look At The Most Common Options Offered By Dentists
To Replace Missing Teeth:
1. A Removable Acrylic or Metal Partial Denture With Visible Retainer Wires

2. A Porcelain Bridge Which Would Require Permanent and Irreversible Damage To Adjacent Teeth

3. A Conventional Dental Implant Which Requires Surgery And A Healing Period Of Up To 6 Months Before
The Final Crowns Or Bridges Can Be Created

4. Conservative Keyhole Dental Implants Which Do Not Require Surgery, Are Virtually Painless, Do Not Damage Adjacent Teeth And Allow For Completion Of Treatment Within Just A Few Short Weeks
As A Result Of The Minimally Invasive Technique Seen Here, It's Easy To Appreciate
That Conservative Keyhole Mini Implant Dentistry Is Becoming The Most Desirable
And Preferred Technique By Patients Around The World To Replace Their Missing Teeth!
Simplified Keyhole Mini Dental Implant techniques use narrow diameter implants which are inserted through
a very minimal entry point through the gum measuring 1.1-2.1mms. They are the most ideal and economical method to
replace missing teeth with non-removable porcelain crowns and bridges, both for a single tooth or an entire dentition.
The advancements in treatments since 2003 have about a revolution in implant dentistry that has made the replacement
of missing teeth possible for more patients than ever before, especially for those who fit into the following categories:
1. Patients with narrow bony ridges and who have been advised that they need bone grafts before implants
2. Those who have medical conditions and cannot be treated with conventional implants
3. Patients who have a gagging problem and cannot tolerate removable false teeth
4. Patients who have dentures which show unsightly metal clasps
5. Patients who simply cannot afford other options
- First appointment takes 1 hour for implant placement and fabrication of an acrylic temporary tooth.
Local anaesthetic is required for this procedure.

