TREATMENT EXAMPLES


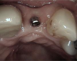
REPLACEMENT OF A MISSING PREMOLAR TOOTH WITH A KEYHOLE IMPLANT AND A PORCELAIN CROWN

 Item Codes:  688 and 672    Fee:     $3,800        

Treatment time is 2-3 weeks: 

          1. First appointment takes 1 hour for implant placement, impressions and fabrication of an acrylic temporary tooth  

          2. Second appointment takes 30 minutes for crown cementation. Anaesthesia is only required at the first visit 



 UPDATE 

26th November 2025


According to Dr. Gordon Christensen DDS Ph.D MSD, an internationally recognised and respected clinical researcher from the USA, the evidence over the past 20-25 years is now clearly showing that the keyhole technique for narrow diameter implants has equivalent success rates to the more invasive conventional surgical method which requires opening the gums, drilling wide deep channels into the jawbone removing healthy bone to allow for the insertion of implants before stitching the gums back.  The trauma of this surgery requires a healing phase that can take around 6 months before a lesser operation is required to connect the support (implant abutment) for the final porcelain tooth. If such implants fail, the damage to the jaw is compounded.


With our keyhole method for single-stage implants, the procedures are greatly streamlined to produce an ideal result within weeks rather than months, and in the rare instance when an implant fails, there are far less complications than if a two-stage surgical implant fails! 

At the Keyhole Implant Dentistry Centre in Sydney, after being the first to carry out this procedure in Australia back in 2003, initiated by a 78 year old patient who wanted to replace her large 9-tooth removable upper denture with a non-removable bridge, we have now treated hundreds of other patients and can confirm that Dr. Christensen's findings are in agreement with our experience.


You may like to review the last series of 4 images above, as they are of that very first patient who received this treatment in Australia. Sadly, at the age of 90, she passed away, having enjoyed her last 12 years of life to the fullest, with a set of non-removable teeth once again, thanks to her willingness to trust us to take care of her.


Up until that time, since 1984  our patients received surgical implant procedures which involved the standard techniques that most dentists are still using, completely believing that there was no other way! 


However, because of the need to help that first patient, we stepped out of the crowd and started creating simpler solutions for our patients who had complex clinical problems.  As we assisted more and more patients, it quickly became obvious that THIS was the new, better modern method that we had to embrace for the benefit of all our patients. 

In agreement with Dr. Gordon Christensen, we know and now have the longterm experience confirming that the conservative implant method we use with single-stage titanium implants using a keyhole approach, is in the best interests of our patients ........ far less invasive, virtually painless, without bruising and swelling, with immediate results, with high success rates and within the

budget of a greater percentage of the community. 

COMMON TREATMENTS, FEES and CLAIMABLE ITEM NUMBERS

​​​​

​​REPLACEMENT OF A LARGE LOWER MOLAR WITH DOUBLE KEYHOLE IMPLANTS AND PORCELAIN CROWN


 Item Codes:  688 X 2 and 672    Fee:     $4,950        

Treatment time is 2-3 weeks: 


          1. First appointment takes 1 hour for implant placements, impressions and fabrication of an acrylic temporary tooth  
          2. Second appointment takes 30 minutes for crown cementation. Anaesthesia is only required at the first visit 
            



                 

© Copyright. All Rights Reserved.


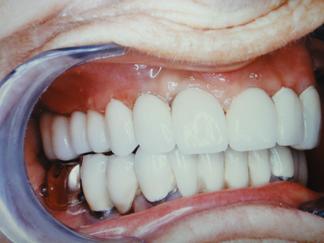
REPLACING  A LARGE ACRYLIC DENTURE WITH A NON-REMOVABLE PORCELAIN BRIDGE 

SUPPORTED BY 9 KEYHOLE IMPLANTS


   Item Codes:  688 x 9 and 672 x 9         Fee: $38,000        

Treatment time is 6 weeks: 

          1. First appointment takes 3 hours for implant placements, impressions and fabrication of an acrylic temporary bridge  
          2. Second appointment takes 90 minutes for trial fitting of the bridge framework

​3. Final appointment takes 90minutes for completion of the bridge



CONNECTION OF A REMOVABLE COMPLETE DENTURE WITH PRECISION ATTACHMENTS

TO KEYHOLE IMPLANTS FOR RETENTION AND STABILITY


Upper Jaw Requires 6 Keyhole Implants and 6 Precision Attachments Fitted To A New Denture

     Item Codes:  688 x 6, 735 x 6 and 711         Fee: $24,800 


Lower Jaw Requires 4 Keyhole Implants and 4 Precision Attachments Fitted To A New Denture
     Item Codes:  688 x 4, 735 x 4 and 712         Fee: $18,800   

    

Treatment time is 2 weeks: 

          1. First appointment takes 2 hours for implant placements, impressions and modifications to existing denture  
          2 - 5. Four appointments with our dental prosthetist to fabricate a new denture that connects to the implants


​​​​

​​REPLACEMENT OF A LARGE ACRYLIC PARTIAL DENTURE THAT CARRIED JUST ONE TOOTH AND COVERED
MOST OF THE PALATE,  POTENTIALLY RISKING DECAY OF MOST OF THE BACK TEETH


 Item Codes:  688 and 672    Fee:     $3,800        

Treatment time is 2-3 weeks: 


          1. First appointment takes 1 hour for implant placement, impressions and fabrication of an acrylic temporary tooth  
          2. Second appointment takes 30 minutes for crown cementation. Anaesthesia is only required at the first visit 
            



                 

​​​​​​​​​​Most patients that come to this website would love to replace their missing teeth without complicated and painful surgery. If you have already read the information on the home page you are aware that our keyhole implant techniqus has provided consistent successful results for hundreds of our patients since 2003.


However, it is important for you to know that not all treatments are successful. Sometimes, there may be factors beyond our control which lead to failure. Such situations will be discussed with you well before any treatment is carried out. It is essential that you are completely aware of your options prior to treatment so that when you provide consent, that it is actually INFORMED CONSENT.


Before viewing the most common keyhole implant treatments that we carry out for our patients, let's take a quick look at the usual methods to replace missing teeth:  














​​
1.  A removable acrylic or metal partial denture with visible retainer wires
(image 1 above)
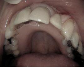
2. A porcelain bridge which requires permanent and irreversible damage t
o your adjacent teeth (image 2 above)
3.  A conventional dental implant which requires surgery  and  a healing period of up to 
6 months (image 3 above)


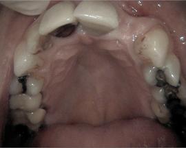
The preferred option for which patients attend our clinic is: 
4.  A conservative keyhole dental implant which does not require surgery, is virtually painless, does not damage adjacent teeth

     and allows for completion of treatment within just a few weeks ..... and at reduced cost. (image 4 above)

      

Conservative keyhole dental implant techniques require a very minimal entry point through the gum measuring 1.5-2.5mms

in diameter, around 0.5-1.0mm narrower than the implants to allow for a firm connection within the jaw. And because the gum is not cut nor stitched,  the majority of patients report that only mild analgesics are required as there is virtually no post-operative pain.


As a result of the immediate firm foundation that these implants provide, we have found that they are the most ideal and economical method to replace missing teeth. Initially, non-removable temporary teeth are created, followed a few weeks later with the permanent porcelain crowns and bridges.


This advancement in conservative implant treatments has made the replacement of missing teeth possible for more patients

than ever before, especially for those who fit into the following categories: 


1. Patients with narrow bony ridges and who have been advised that they need bone grafts before implants

2. Those who have medical conditions and cannot be treated with conventional implants

3. Patients who have a gagging problem and cannot tolerate removable false teeth

4. Patients who have dentures which show unsightly metal clasps